区分狗狗的脓皮症和湿疹,可以从以下几个方面进行:
一、病因

脓皮症:主要由细菌感染引起,特别是由葡萄球菌、链球菌等细菌导致的皮肤感染。这些感染也可能由跳蚤、过敏、内部疾病(如甲状腺机能减退、脂溢性疾病等)或寄生虫病(如蠕形螨)等因素触发。
湿疹:湿疹是狗皮肤表皮细胞对致敏物质引起的炎症反应。常见病因包括接触过敏物质、过度舔毛、蚊虫叮咬、药物刺激、皮肤不洁、生活场所潮湿以及体内缺乏某种营养物质等。
二、症状
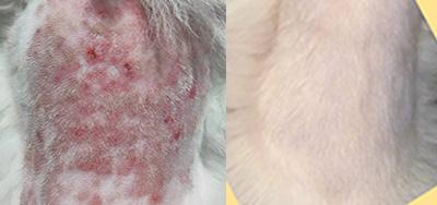
脓皮症:患病犬只的皮肤外层会出现小脓肿,可能伴随色素损失、皮屑、红斑、丘疹等症状。病变可能限于表皮和毛囊(浅表性脓皮病),也可能深入真皮层(深层脓皮病)。

湿疹:发病时皮肤上出现红疹或丘疹,伴随严重的瘙痒症状,之后形成水泡,破溃后患处湿润、糜烂。慢性湿疹病程较长,皮肤有增厚、苔癣化,出现皮屑,虽然皮肤湿润的症状看上去缓解了,但还是会有瘙痒症状。
三、发病部位
脓皮症:可能发生在任何皮肤区域,但温暖潮湿的部位(如唇褶、面部皱褶、颈部褶皱、腋窝区域、背侧或足底褶皱区域、外阴褶皱和尾部褶皱)以及压力点(如肘部和飞节)更易感染。
湿疹:同样可能发生在任何皮肤区域,但常见发病部位包括背部、四肢等。
四、治疗方法

脓皮症:主要治疗方法是使用适当的抗生素和适当的皮肤护理。对于局灶性浅表性脓皮病,可以局部涂抹抗生素如2%莫匹罗星软膏。对于深层脓皮症,需要使用含阿莫西林、头孢菌素等成分的药物治疗,如埃素达(头孢羟氨苄片)。同时,保持患处清洁、提高免疫力和预防感染也是治疗的重要组成部分。治疗期间,可以用普安特复方硝酸咪康唑洗剂清洁狗狗的患处。

湿疹:治疗措施包括消除致病因素,保持皮肤干燥,使用适当的湿疹治疗药物。可口服地塞米松片或纽美诺(马来酸氯苯那敏片),并在患部涂抹消炎药物,如红霉素软膏、夫安特(氧化锌软膏)。在脓疱发炎期间,需要口服消炎药或注射抗生素,防止感染。
综上所述,脓皮症和湿疹在病因、症状、发病部位和治疗方法上均有所不同。准确区分这两种疾病对于制定有效的治疗方案至关重要。因此,如果怀疑狗狗患有皮肤病,最好及时带它去宠物医院进行检查和治疗。